무릎 인공관절 수술비용과 회복기간은? 60세 이상 꼭 알아야 할 정보 총정리!
60세 이상이 되면 무릎이 쑤시고 걷기 불편하다는 이야기를 자주 듣습니다.
퇴행성 관절염은 연령이 높아질수록 유병률이 높아지고, 심할 경우 무릎 인공관절 수술을 고려하게 됩니다.
그런데 막상 수술이 필요하다는 진단을 받아도 비용이나 회복 기간, 정부 지원 가능 여부가 정확히 와닿지 않아 망설이게 됩니다.
수술비와 입원 기간, 회복 과정, 그리고 받을 수 있는 지원 제도까지 이 글에서 모두 안내해드리겠습니다.
아래 본문을 천천히 읽으며 꼭 필요한 정보만 쏙쏙 챙겨보시길 바랍니다!

무릎 인공관절 수술, 언제 필요할까?
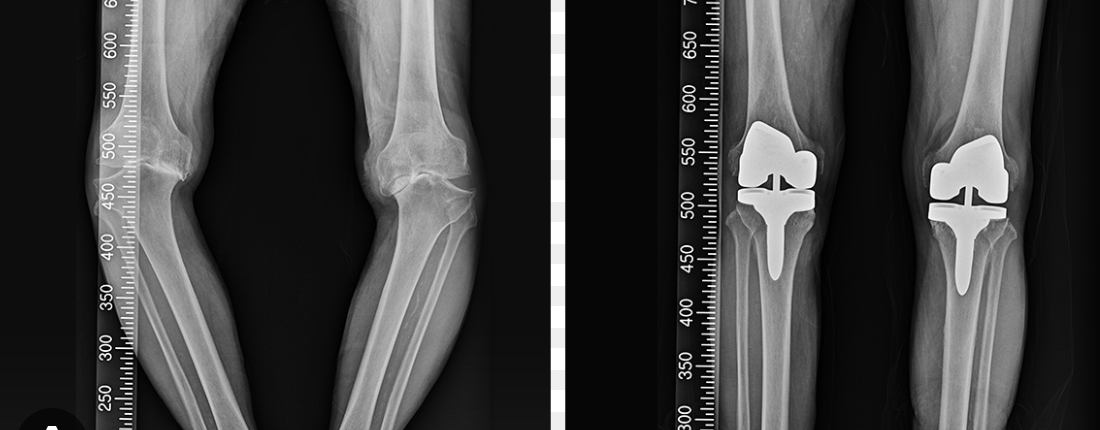
무릎 통증이 일상에 지장을 줄 만큼 심하고, 약물치료나 물리치료로도 효과를 보지 못할 경우 인공관절 수술을 고려하게 됩니다.
특히 퇴행성관절염의 말기에는 연골이 거의 닳아 없어져 뼈끼리 직접 맞닿으며 극심한 통증을 유발합니다.
인공관절 수술은 이러한 관절 표면을 제거하고 특수 금속과 플라스틱으로 만든 인공 부품을 삽입하는 방식입니다.
보통 60대 이상 고령자, 특히 보행이 어려울 정도로 통증이 심한 경우 수술이 권고됩니다.
수술 후 일상 복귀가 빨라지고, 통증 완화 효과도 크기 때문에 삶의 질을 높이는 데 큰 도움이 됩니다.
✅ 수술 적응증과 진행 과정이 궁금하다면?




무릎 인공관절 수술비용, 얼마나 들까?
수술 비용은 병원급과 상급종합병원, 비급여 항목 포함 여부에 따라 다소 차이가 있지만, 평균적으로 약 300만 원~700만원 정도 소요가 됩니다. 하지만 건강보험이 적용되면 약 120만원~150만원 수준으로 줄어들 수 있습니다.
여기에 개인 병실 사용 여부, 추가 검사비, 재활치료비가 더해지면 총 비용은 더 증가할 수 있습니다.
📌 기본적인 수술비 구성
1. 수술비: 80~200만 원
2. 인공관절 재료비: 100~300만 원
3. 입원비 및 기타: 50~150만 원
4. 건강보험 본인부담금: 약 120~150만 원
✅ 무릎 인공관절 수술비, 지원받을 수 있을까?
보건복지부와 노인의료나눔재단은 저소득층을 대상으로 무릎 인공관절 수술비 지원사업을 운영 중입니다.
대상자는 기초생활수급자, 차상위계층, 한부모가정, 독거노인 등이며, 한쪽 무릎 기준으로 최대 120만 원까지 실비로 지원됩니다.
신청은 가까운 병원을 통해 상담받을 수 있고, 재단 홈페이지에서 양식을 내려받아 제출하면 됩니다.
무릎 인공관절 수술비 지원사업 안내
고령층의 경제적 부담을 줄이기 위해 보건복지부와 한국노인의료나눔재단이 공동으로 시행하는 무릎인공관절 수술지원사업은, 치료가 필요하지만 비용 부담으로 수술을 미루는 저소득층 노인을 대상으로 실질적인 도움을 주는 제도입니다.


📌 지원 대상
다음 조건 중 하나 이상 해당하면 신청할 수 있습니다.
1. 기초생활수급자.
2. 차상위계층.
3. 한부모가정, 독거노인.
기타 시·군·구청장이 인정하는 저소득자
※ 단, 만 60세 이상이며, 인공관절 수술이 반드시 필요하다는 의학적 소견서가 있어야 합니다.
👉 신청 페이지 바로가기:
노인의료나눔재단 무릎인공관절 수술지원 https://www.ok6595.or.kr/client/info/knee02.asp
노인의료나눔재단
사업실적 보고 ‑ 재단은 분기별 다음달 10일(단, 마지막 분기는 익년 1월 10일)까지 최종 수술 대상자 및 수술 내역, 지원액, 사후 관리 등에 관하여 보건복지부에 보고 및 통보 지역별 예산 배분
www.ok6595.or.kr
📌 지원 내용
1. 한쪽 무릎 기준 최대 120만 원 실비 지원.
2. 수술비, 재료비, 입원비 일부를 포함.
3. 연간 신청 한도 내에서 지원 가능 (연 1회).
📌 신청 방법
1. 사전 진단 및 수술 필요성 평가.
2. 병원에서 지원대상 여부 확인.
3. 노인의료나눔재단 홈페이지 접속.
4. 신청서 작성 및 필요 서류 제출.
5. 승인 후 지정 병원에서 수술 진행.
✅ 유의사항
수술 후 신청은 불가능합니다.
신청 전에 반드시 상담 및 서류 접수를 마쳐야 합니다.
병원에 따라 지정 병원 여부가 다르므로 재단과 협약된 의료기관인지 확인이 필요합니다.



회복기간은 얼마나 걸릴까? 관리가 핵심
무릎 인공관절 수술은 수술 후 23일 내 보행보조기를 이용해 걷는 훈련을 시작하며, 회복은 평균 3개월6개월 정도 소요됩니다.
물론 연령, 체중, 기저질환 여부에 따라 차이가 있지만, 꾸준한 재활 운동과 생활 습관이 회복 속도를 좌우합니다.
회복 단계별 요약
0~2주: 수술 직후 입원 상태, 초기 통증 관리
2주~1개월: 보행보조기 사용 및 기본 재활 시작
1~3개월: 계단 걷기, 실내 보행 가능
3~6개월 이후: 일상 복귀, 외부 활동 가능
재활치료 외에도 금연, 금주, 체중 관리가 중요하며, 무리한 활동은 오히려 회복을 늦출 수 있으므로 의료진의 지시에 따라 단계별 운동을 해야 합니다.
무릎 인공관절 수술은 단순히 고통을 덜어주는 수준을 넘어, 일상생활의 독립성과 삶의 질을 회복하는 중요한 선택입니다.
비용이 부담된다면 지원사업을 적극 활용해보시길 바랍니다.
주변에 고민 중인 가족이나 지인이 있다면 이 정보를 공유해도 좋습니다.
