결핵은 한때 과거의 병처럼 여겨졌지만, 지금도 국내 1만 명 이상이 매년 새롭게 진단받는 감염병입니다.
특히 요즘처럼 감기나 기관지염이 유행하는 시기에는 결핵 증상을 단순 감기로 오해해 치료 시기를 놓치는 경우가 적지 않죠.
하지만 결핵은 감염성 질환으로, 빠르게 진단하고 치료하지 않으면 자신뿐 아니라 가족, 동료에게도 전파될 수 있는 위험한 병입니다.
이 글에서는 결핵 증상의 구체적인 특징, 그리고 전염되는 경로, 나아가 예방을 위한 생활 수칙과 검사 정보까지 한 번에 정리해드립니다.
지금 확인해 두면 건강을 지키는 데 큰 도움이 될 것입니다.



결핵 증상, 감기와의 차이점은?
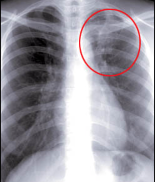
결핵은 대표적으로 폐에 생기는 감염병인 폐결핵 형태로 흔하게 발생합니다.
증상은 흔한 감기 증상과 비슷하지만, 지속 기간과 동반되는 이상 증상들을 보면 차이를 알 수 있습니다.
다음과 같은 증상이 있다면 결핵 검사를 반드시 고려해보셔야 합니다.
주요 결핵 증상 체크리스트
1. 2주 이상 지속되는 기침.
2. 가래에 피가 섞인 객혈.
3. 발열 및 오후 늦게 나타나는 미열.
4. 밤에 식은땀이 나는 야간발한.
5. 의도치 않은 체중 감소.
6. 설명할 수 없는 피로감



이러한 증상은 폐 외의 장기(림프절, 척추, 장 등)로 퍼지는 폐외결핵의 경우 더 다양하게 나타날 수 있습니다. 특히 노인이나 면역저하자는 증상이 거의 없거나 비특이적으로 나타나기 때문에 조기 진단이 더욱 중요하죠.
결핵 증상이 의심되거나, 최근 결핵 환자와 밀접 접촉한 적이 있다면 잠복결핵 검사도 고려해봐야 합니다. 국가에서는 밀접 접촉자, 의료기관 종사자, 노인복지시설 입소자 등 고위험군을 대상으로 무료 검사를 지원하고 있습니다.
결핵이 의심된다면 흉부 엑스레이, 객담검사, 필요시 CT 검사까지 받을 수 있으며, 대부분 국가에서 검사비를 지원합니다.
결핵 전염 경로와 가족 감염 위험
결핵은 결핵균을 흡입함으로써 감염되는 공기 전염병입니다.
환자가 기침이나 재채기를 할 때 뿜어내는 비말 속 결핵균이 공기 중에 머물며 전파됩니다.
이 때문에 밀폐된 공간에서 함께 생활하거나 근무하는 경우 감염 위험이 크게 높아집니다.
전염력이 가장 높은 시기는?
1. 결핵 진단 전, 치료 시작 전 초기 단계.
2. 치료를 시작한 후 2~3주 이내.
→ 이 시기에는 반드시 격리와 마스크 착용, 주변인 검사가 필요합니다.
결핵 검사 가능 의료기관 https://tbzero.kdca.go.kr/tbzero/org/getListOrg.do
결핵ZERO
2주이상 기침하면 결핵검진, 결핵예방은 생활이다!
tbzero.kdca.go.kr
가족 또는 직장 동료 감염 우려?
결핵 환자와 같이 사는 가족, 밀폐된 공간에서 함께 일하는 직장 동료는 잠복결핵 검사 대상자입니다.
증상이 없더라도 체내에 결핵균이 남아있을 수 있으며, 약 10%는 수년 내 활동성 결핵으로 진행될 위험이 있습니다.
잠복결핵은 간단한 혈액검사로 진단할 수 있고, 국가 지원으로 무료 치료도 가능합니다.
접촉자라면 반드시 검사받고, 필요시 예방적 치료(6~9개월)를 받는 것이 중요합니다.
검사 결과 잠복결핵감염자라면 결핵을 90%로 까지 예방할수 있습니다.


결핵 예방 수칙과 치료 시 주의사항
결핵은 아직 완전히 사라지지 않은 감염병이지만, 평소 예방수칙을 잘 지키고 정기적으로 검진을 받는다면 충분히 방지할 수 있습니다.
결핵 예방을 위한 생활 수칙
실내 자주 환기: 최소 하루 2~3회 창문 열기.
마스크 착용 습관화: 특히 밀폐공간·병원·대중교통.
면역력 강화: 규칙적인 수면, 운동, 균형 잡힌 식사.
정기 건강검진: 고령자, 당뇨병 환자, 흡연자는 정기검진 필수.




결핵 치료 시 꼭 지켜야 할 점
처방된 약은 최소 6개월간 꾸준히 복용해야 하며, 중단 시 내성이 발생 할수 있습니다.
치료 도중 부작용(간수치 상승, 피부 발진 등)이 발생하면 즉시 병원 방문해서 치료해야 합니다.
그리고 정기적인 간 기능 검사를 통한 모니터링이 필요할수 있습니다.
결핵 치료 Q&A 보기
기침이 2주 이상 멈추지 않거나 미열, 체중 감소, 야간 발한 같은 증상이 느껴진다면 단순 감기가 아닌 결핵일 가능성을 반드시 의심해보세요.
특히 나이 든 부모님이나 체력이 약한 가족 구성원이 있다면 더욱 신경 써야 합니다.
결핵은 치료만 잘 받으면 완치율이 95% 이상으로 높은 병입니다. 중요한 건 조기 진단과 꾸준한 약 복용입니다.
건강은 무심한 듯 찾아온 위협에서부터 지켜야 합니다.
조금이라도 의심된다면 지금 바로 가까운 보건소에서 결핵 검사를 받아보세요!

